치과전문의 책임지는 진료

항암환자, 전신질환자를 위한 전문병원

About Us

두려움을 덜고, 편안함을 더하다.

환자가 믿을 수 있는 병원. 우리삼성치과의 진료철학입니다.

환자 중심의 맞춤 진료

환자 중심의 서비스를 바탕으로, 모든 분들께 편안하고 신뢰할 수 있는 치과 치료를 제공하고자 노력합니다.

첨단 장비와 정밀 진단

최신 디지털 장비와 체계적인 진단 시스템을 통해 정확하고 안전한 진료를 약속드립니다.

불안을 낮추는 충분한 상담

치료 전 충분한 상담을 통해 불안감을 줄이고, 환자 한 분 한 분의 상황에 맞춘 맞춤형 치료 계획을 세워드립니다.

Visions

우리삼성치과의원의 핵심가치

안심 되는 치료

과잉 진료 걱정 없이 양심에 어긋나지 않는 진단과 치료를 합니다.

성실한 응대와 설명

환자 분께서 궁금해 하시는 사항에 대해 의료진은 친절하게 설명드립니다.

세심한 배려와 나눔

단순히 수익 만을 추구하지 않고 다양한 봉사 활동을 통해 사회에 공헌합니다.

상호 존중과 소통

환자분께서 호소하는 증상을 항상 귀담아 듣고 최선을 다해서 해결하도록 노력합니다.

쾌적한 치과 환경

위생적인 진료 환경을 구축하고 수술실과 진료실을 깨끗한 상태로 유지합니다.

최고의 의료기술

치과 각 분야의 전문 의료진의 협진을 통해 최선의 진료 결과를 추구합니다.

예약 및 상담 전화

치아 교정 및 진료에 대한 문의는 언제든 편하게 상담하세요.
아래 링크를 통해 바로 연결되며, 상담 가능 시간은 진료 시간과 동일합니다.

문의

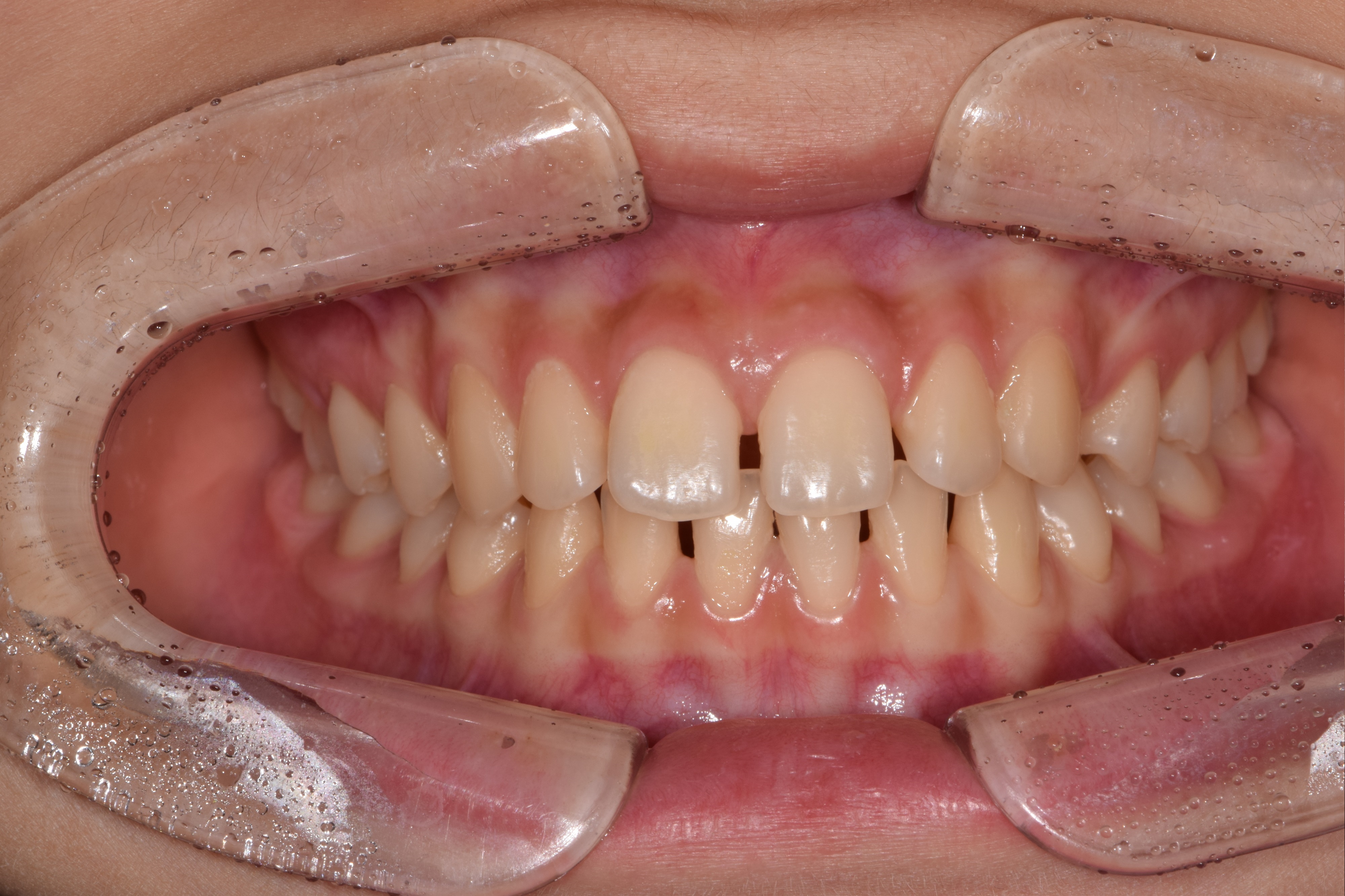
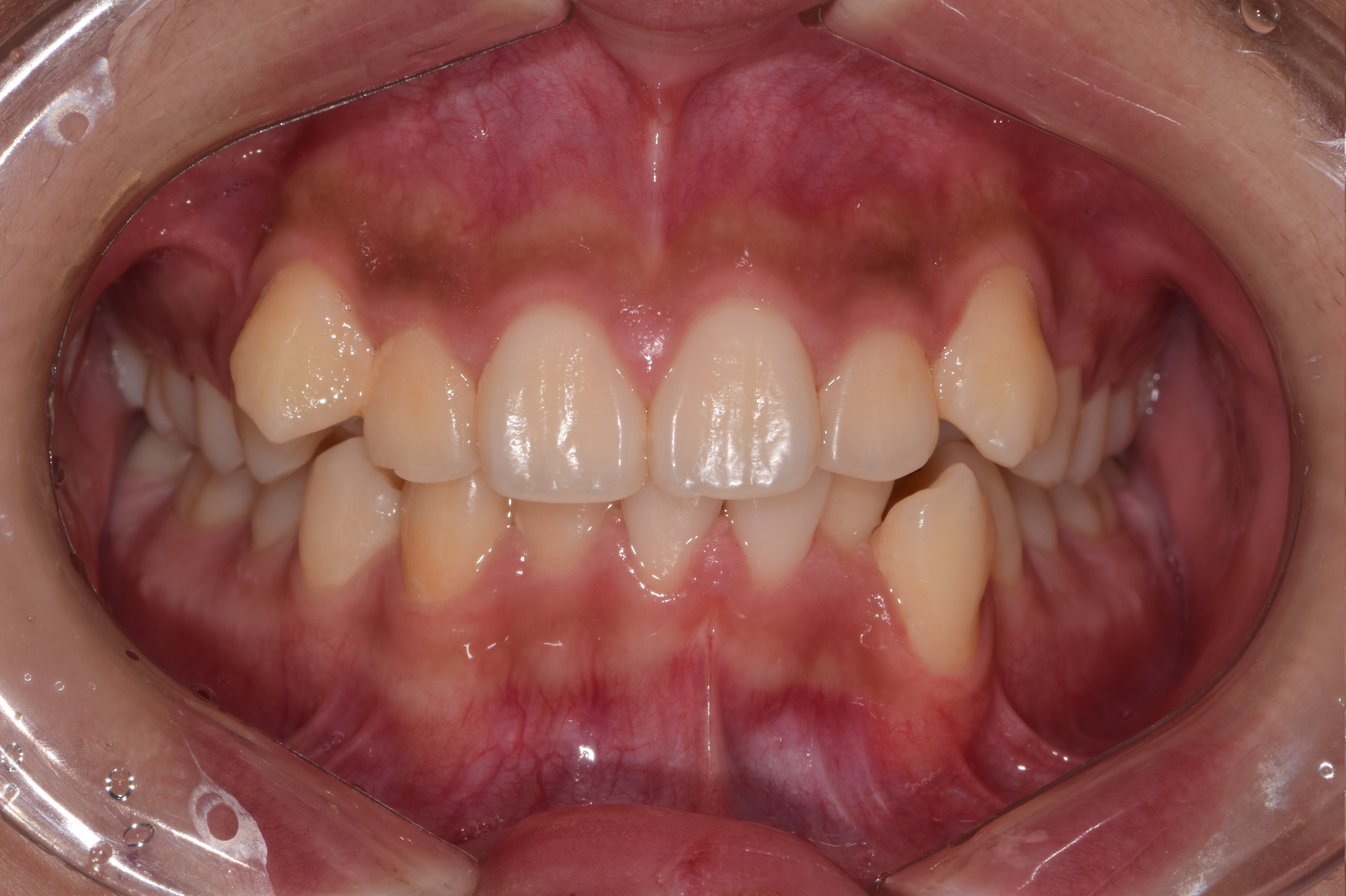
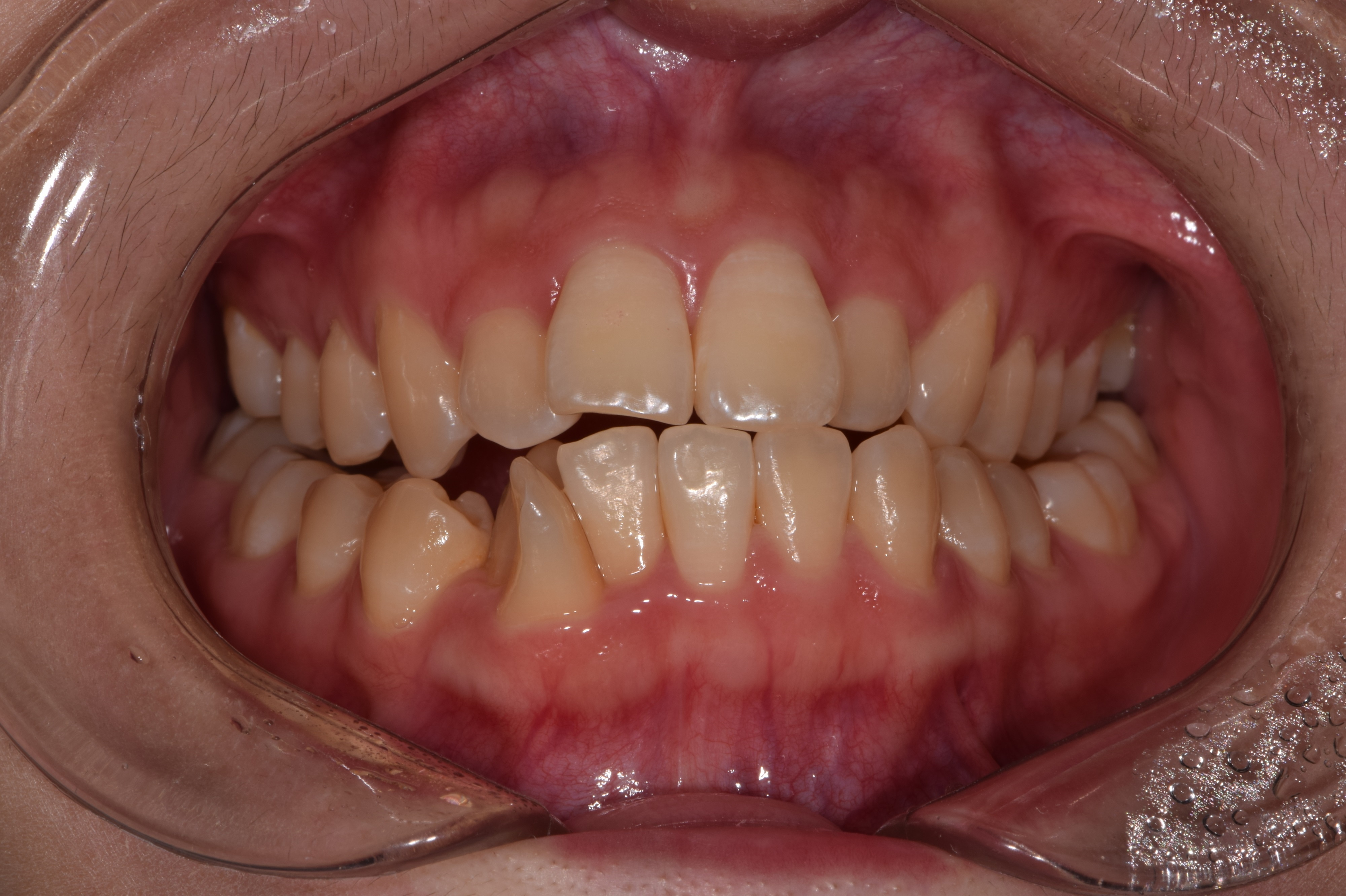
Cases

우리삼성치과의 치료 케이스

  • All
  • 치아교정

자주 묻는 질문

신경치료하면 많이 아픈가요?

신경치료시 통증을 느끼는 것은 '치료 중'과 '치료 후'로 나눌수 있습니다. 우리삼성치과에서는 무통마취로 치료전 통증을가급적 적게 하도록 도와드리고 있습니다. 치료중 통증을 느끼는 것은 마취가 충분히 되지 않았거나 염증이 너무 심해서 마취가 잘 되지 않는 경우가 있으며다양한 방법으로 치료중 통증 조절이 가능하니 너무 걱정할 필요는 없습니다.
치료 이후에는 치아가 예민해져 있는 상태라 음식을 먹을때나 치아가 맞물릴때 통증이 발생할 수 있습니다. 일반적으로 처방해드린 진통제를 복용하면조절이 가능하니 너무 큰 걱정은 하지 않으셔도 됩니다.

임플란트 치료를 받고 싶어요. 이 병원의 특징은?

치과 임플란트는 대중화되어 마치 임플란트라는 상품을 구입하는 것처럼 되어 버렸습니다. 그러나 원장의 오랜 진료 경험으로 느낀 것은 임플란트 치료에서 가장 중요한 것은 임플란트의 브랜드가 아닌 술자의 경험이라는 것입니다. 수술시 환자의 구강 상태는 항상 다르기 때문에 수술 부위를 눈으로 확인하고 개별 상황에 맞게 경험적으로 최선의 수술을 하는 것이 가장 중요합니다. 따라서 소위 네비게이션 임플란트라는 것이 절개 하지 않고 정확한 최고의 임플란트 치료 방법인 것처럼 광고하지만 저는 동의하지 않습니다.
저희는 삼성서울병원에서 근무한 이력부터 20년 경력의 경험을 토대로 고집스럽지만 전통적이고 검증된 방법으로 진료하고 있습니다. '무절개', '무통' 같은 환자를 현혹하는 광고보다는 적절한 절개를 통해 눈으로 골질을 파악하고 불규칙한 골면에서 최선의 위치를 수술시 판단하는 것이 올바른 치료법이라고 생각하고 이것이 본원의 특징입니다.

사랑니 발치를 하고 싶어요. 과정이 어떻게 되나요?

사랑니 발치는 환자분의 사랑니 매복 상태를 확인해야 합니다. 타 병원에서 이미 x-ray를 촬영한 경우에는 카카오톡으로 올려주시면 원장님께서 확인하는 대로 발치가 가능한지 답을 주실 것입니다. x-ray가 없다면 일단 내원하셔야 정확한 상담이 가능합니다.가락삼성치과에서는 구강외과 국가전문의가 진료하고 있으며 대부분의 사랑니 발치는 가능합니다. 단, 사랑니가 신경을 손상시킬 가능성이 높은 경우, 환자분께서 불필요한 위험성을 감수할 필요가 없기 때문에 이런 경우에만 대학병원의 정밀검사를 권유하고 있습니다. 당일 빌치 가능 여부는 방문전 미리 전화로 확인하시는 것이 좋습니다. 진료비는 건강보험이 적용되어 대략 4-5만원 이내로 생각하시면 되고, 수술 시간은 30분정도, 수술 후 2-3회 소독을 위한 내원을 권합니다.

턱관절이 아파요. 치료는 어떻게 하나요?

현대인은 다양한 스트레스로 이갈이나 이악물기 등의 구강 악습관 유병률이 매우 높습니다. 그로 인해 턱관절 질환의 유병률도 높아지고 있는 것 같습니다. 턱관절의 통증 및 개구 제한으로 본원에 내원하시면 정확한 방사선 검사와 임상검사를 통해 진단을 하고 대부분은 약물치료와 물리치료로 간단히 치료를 유도합니다. 그러나 증상의 정도가 중하고 악습관으로 인한 피해가 확실하다면 스프린트 치료가 필요한 경우도 종종 있습니다.

Doctors

우리삼성치과는 보건복지부 인증 국가전문의가 진료합니다.

김도균

대표원장

문형인

대표원장

홍현실

교정원장

Contact

진료시간 및 위치안내

문의하기

우리삼성치과은 지하철 3호선 일원역 2번출구 삼성생명빌딩에 위치하고 있습니다.

주소:

서울특별시 강남구 일원로 115 삼성생명빌딩 C동 2층

연락처:

02-2226-7528

주차안내:

삼성생명빌딩 주차장 주차지원

진료시간

월-금 09:30-18:30
수(야간) 09:30-20:30
09:00-14:00

점심시간 13:00-14:00

토요일은 점심시간이 없습니다.